Dé mobiele paardenpraktijk van Noord-Holland!
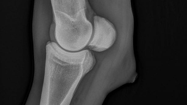
Röntgen
Voor een juiste beeldvorming wordt veelal het röntgenapparaat toegepast. Door middel van röntgenstralen worden foto’s gemaakt van de binnenkant van het lichaam. Op deze manier kan het skelet van het paard, maar organen goed in beeld worden gebracht.
Toepassingen van röntgenonderzoek
We gebruiken het röntgenapparaat vaak in de orthopedie, wat zich bezighoudt met het onderzoek en behandeling van het bewegingsapparaat. Kreupelheid, fracturen, standsafwijkingen en botontstekingen worden door middel van röntgenonderzoek in beeld gebracht. Daarnaast kunnen we ook aanhechtingsproblemen van pezen en banden, maar ook botafwijkingen zien.
We gebruiken het röntgenapparaat ook bij gebitsonderzoek of bij problemen aan het hoofd. Tevens maken we röntgenfoto’s bij het juist diagnosticeren van problemen aan de luchtwegen bij het paard.
Het paard moet netjes en soms langer stil staan om een goede röntgenfoto’s te maken. Daarom wordt het paard onder lichte verdoving gebracht. Ook zorgt dit er voor dat het paard meer ontspannen is en minder onder de indruk van alle apparatuur.
